Electrophysiology and devices
Visitor Information
Translation help:
To translate this page into your preferred language, click the Google Translate icon in the top-right menu and select your desired language.

Our electrophysiology and devices service is internationally renowned in the specialist management of heart rhythm disorders. We assess and treat the full spectrum of arrhythmias in dedicated electrophysiology laboratories with new state-of-the-art mapping systems.
We are one of a few centres in the country with a round-the-clock emergency arrhythmia service assessing and managing patients with potentially life-threatening heart rhythm disorders. Many patients are brought to us directly by the ambulance service (bypassing the local A&E department) in the west London area when a dangerous heart rhythm condition is suspected.
Conditions we treat
- heart block and bradyarrhythmias
- supraventricular tachycardia
- atrial fibrillation
- atrial flutter
- ventricular tachycardia
- inherited arrhythmia syndromes (e.g. Brugada and long QT syndrome)
Treatments we offer
- anti-arrhythmic medications
- pacemakers for bradyarrhythmias
- complex devices — implantable cardioverter-defibrillators (ICD) and cardiac resynchronisation therapy (CRT)
- ablation for tachyarrhythmias such as supraventricular tachycardias, atrial fibrillation, atrial flutters, accessory pathways and ventricular ectopics/tachycardias
Meet the team
Professor Prapa Kanagaratnam, clinical lead
Dr Michael Koa-Wing
Dr David Lefroy
Dr Boon Lim
Dr Nick Linton
Dr Fu Siong Ng
Professor Nicholas Peters
Dr Norman Qureshi
Dr Jay Shah
Dr Mark Tanner
Dr Zachary Whinnett
Patient information
About your appointment
We will book an appointment for you after we receive a referral from your GP. The date and time of your appointment will be sent to you via a letter in the post. If there is any doubt that the letter will not arrive in good time, you will be contacted by telephone.
You are welcome to bring a family member, friend, guardian or carer with you to the appointment. If English is not your first language or you may need help with translation, then please do bring a relative or friend who is able to understand English well in order to retain information and help organise your visit.
You are welcome to ask for a chaperone and we will try to provide one for you.
We suggest you wear flat, fully covered shoes or trainers to your appointment, as you may be asked to perform a treadmill test, if you are able to do so.
Before attending for any test you are able to eat and drink as normal. You may want to bring a snack if you are going to be at the clinic for a while. There is drinking water available.
It is very important to bring all your medications to your appointment. Please remember to check your appointment letter for anything specific you may have been asked to bring with you. In addition, it would be helpful if you could bring the following:
- full address and phone number
- appointment card and appointment letter
- GP's name and address
- a list of questions you may wish to ask your consultant
At your appointment
Upon arrival please visit the main reception. We will make every effort to ensure you are seen on time but sometimes a delay is unavoidable. Our team will ensure you are kept up to date about any delays.
The majority of patients can expect to be at the clinic for less than an hour. If you are attending some clinics for specific conditions you may need to have a number of tests performed on the same day as your consultation which may result in an attendance of up to three hours.
You will see a consultant or one of their team at your appointment. They will discuss the results of any tests you may have had as well as their findings and recommendations. You may be referred for further tests or your condition will be further managed in the community. The doctor will discuss next steps with you.
Please note that we are a teaching hospital, so medical students may be present for some appointments. If you do not wish to have them in the room please let the nurse or doctor know and the students will be asked to step outside.
After your appointment
Following your appointment, the doctor will make a diagnosis and will send recommendations and advice to your GP in a letter. You will receive a copy of this letter.
Patient information leaflets
- Having a device box change
- Having a lead revision or extraction
- Having a pacemaker implantation
- Having an implantable cardioverter defibrillator
- Having an implantable loop recorder (ILR) implant
- Having an implantable loop recorder (ILR) removal
- Having a ventricular tachycardia ablation
- Having an atrial fibrillation / tachycardia ablation
- Having an atrial flutter ablation
- Having an electrophysiology study and ablation
Treatments we offer
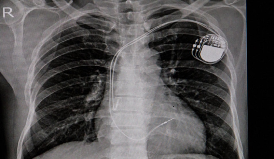
We offer a number of treatments for heart rhythm disorders, including pacemakers and implantable cardioverter defibrillator (ICD). The British Heart Foundation has created videos to help explain what those devices are and how they work. If you have any questions, please raise them with your consultant when you come to hospital.
Pacemaker
Implantable cardioverter defibrillator (ICD)
Refer to this service
GPs
Please use NHS e-Referrals to refer a patient to this service.
We ask that when you refer patients to us, you include a standard referral letter along with the any relevant results:
- blood tests
- ECG or Holter monitoring
- echocardiology
Additional information
Research
Research is an integral part of the electrophysiology and devices service. Many of the consultants hold senior academic positions within Imperial College London, combining their clinical practice with both basic and clinical research. Our research has driven some of the biggest breakthroughs in the field including new arrhythmia mapping technologies and new types of pacemaker therapies. The ElectroCardioMaths programme team takes a pioneering multidisciplinary approach to understanding some of the most complex heart rhythm disorders by bringing together expertise and leaders from the fields of clinical electrophysiology, biological and physical sciences, engineering, imaging and computer science.
There are a number of new and ongoing clinical trials that the team may discuss with you during your appointment or contact you afterwards to discuss in more detail.
Education and training
We offer electrophysiology and devices elective placements. Please contact the lead consultant for more information.